Dental Implants in El Paso – Permanent Tooth Replacement You Can Trust

Missing teeth affect more than just your appearance—they can impact your bite, speech, jawbone health, and overall confidence. Dental implants in El Paso offer a permanent, natural-looking solution for patients seeking reliable tooth replacement. At Eversmile Dentist, our dental implant dentist in El Paso provides advanced implant dentistry designed to restore function, protect bone health, and help you smile with confidence again.
At Eversmile Dentist, we specialize in implant dentistry in El Paso, offering customized solutions for single tooth implants, multiple tooth implants, and full mouth dental implants. Our advanced techniques help replace missing teeth, prevent bone loss, and deliver long-lasting results that look and feel natural. Whether you need a single tooth implant, multiple tooth implants, or are exploring full mouth implants, our implant dentist in El Paso will design a personalized treatment plan tailored to your oral health needs, comfort, and long-term goals.

What Are Dental Implants?

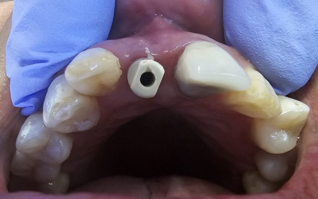
Dental implants are small titanium posts that function as artificial tooth roots. These implants are placed into the jawbone and fuse naturally through a process called osseointegration. Once healed, a custom crown is attached, creating a durable and realistic permanent tooth replacement that functions just like a natural tooth. These posts are bonded to the jawbone through a healing process called osseointegration. Once secure, a custom dental crown is placed on top, giving you the look and function of a natural tooth.

Unlike dentures or bridges, dental implants are permanent and don’t shift or slip. They are designed to function like natural teeth and allow for normal brushing and flossing as part of your regular oral hygiene routine.

At Eversmile Dentist, we use Hiossen® Implants, a trusted global leader in implant dentistry. These implants are manufactured in the USA and backed by strong clinical evidence, scientific research, and advanced surface technology. Hiossen Implants are used in over 60 countries worldwide, making them one of the most respected names in the industry.

Their unique surface design supports faster healing and strong integration with your jawbone, providing a stable and long-lasting result. Patients benefit from improved comfort, functionality, and aesthetics—restoring their ability to eat, talk, and smile with confidence. Hiossen also helps preserve bone density, reduce the risk of facial sagging, and prevent future dental problems.

Why Choose Dental Implants?

Tooth loss affects more than aesthetics. Without a tooth root, the jawbone can weaken over time, leading to facial collapse and shifting teeth. Dental implants in El Paso stimulate the jawbone like natural teeth, helping preserve bone density while restoring strength, stability, and confidence. When a tooth root is no longer present, the jawbone can begin to shrink. Over time, this can change the shape of your face and weaken your bite. Dental implants help prevent this by stimulating the bone just like a natural tooth would.

In some cases, bone grafting may be recommended before implant placement to ensure long-term success. This preparatory step strengthens the jawbone and improves outcomes for implant dentistry, especially for patients with advanced tooth loss. This step helps ensure the implant procedure is successful and long-lasting.

The Dental Implant Process

Here’s what you can expect during the implant surgery process:

  1. Consultation & Planning: Evaluation by an experienced dental implant dentist in El Paso.
  2. Implant Placement: Titanium post placed with precision and care
  3. Healing Phase: Implant integrates with the jawbone
  4. Final Restoration: Natural-looking crown completes your tooth replacement

Throughout the process, we prioritize your comfort, safety, and long-term results.

Caring for Your Implants

Just like natural teeth, implants require daily brushing and flossing, regular checkups, and good oral habits. With proper brushing, flossing, and routine checkups, dental implants can last decades—making them one of the most reliable tooth replacement options available in modern dentistry.

Ready to Restore Your Smile?

If you’re searching for dental implants in El Paso, Eversmile Dentist offers expert care, advanced technology, and flexible payment options. Let our trusted implant dentist in East El Paso help you achieve a strong, natural-looking smile that lasts.

Your Dream Smile Starts Here

Whether you’re looking for a subtle refresh or a full smile transformation, Eversmile Dentist is here to help. Let Dr. Jaegun Ahn, DMD create a personalized plan that brings out the best in your smile.